Bayburt’ta 50 yaşındaki hasta erken tanıyla sağlığına kavuştu
SAĞLIK 8.10.2025 09:00:28 0

Bayburt’ta 50 yaşındaki hasta erken tanıyla sağlığına kavuştu

Bayburt’ta 50 yaşındaki hasta erken tanıyla sağlığına kavuştu

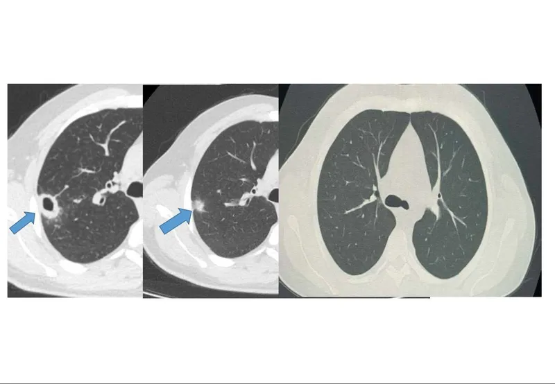
Bayburt Devlet Hastanesine öksürük ve balgam şikayetiyle başvuran 50 yaşındaki hastanın akciğerinde kitle benzeri bir doku tespit edildi. Yapılan tetkikler sonucu ciddi bir hastalık olmadığı belirlenen hasta, erken tanı ve doğru tedavi sayesinde sağlığına kavuştu.
Göğüs Hastalıkları Uzmanı Uzm. Dr. Hilal Sayma tarafından muayene edilen hastaya ileri tetkik amacıyla bronkoskopi işlemi uygulandı. Bronkoskopi sonucunda lezyonun kanser veya tüberküloz gibi ciddi hastalıklarla ilişkili olmadığı belirlenerek, hasta için uygun tedaviye başlandı.
İki haftalık tedavi sürecinin sonunda yapılan kontrollerde lezyonun neredeyse tamamen gerilediği görüldü. Sağlığına kavuşan hastanın taburcu edildiği ve durumunun iyi olduğu öğrenildi.

Adıyaman’da kazada ağır yaralanan motosikletli hay...

Kaza sonrası olay yerinden kaçtı, alkollü olduğu o...

Belçika’da ölen gurbetçi gençler toprağa verildi

Adana’da uyuşturucu bağımlısının aile bireylerini ...

Mersin’deki işçi servisi kazasında hayatını kaybed...

Motorda mahsur kalan yavru kedileri itfaiye kurtar...

Arama yapılan evde uyuşturucu madde ele geçirildi

ABD-Meksika sınırındaki yasa dışı geçişler yarım a...

Malatya’da otomobil ile motosiklet çarpıştı: 1 ölü...

D-100’de motosikletle tehlikeli şov kamerada

Polis nefes aldırmadı: Bir ayda 319 aranan şahıs y...

Dolandırıcı avukat suçüstü yakalandı: Cezaevinden ...

Bilecik’te miniklere polis mesleği ve 112 eğitimi

17 yaşındaki gencin ölümüne sebep olan alkollü sür...

Uzman Doç. Dr. Aytaç, Medıcal Point Gaziantep Hast...

Malatya’da Resul Dindar rüzgarı esti

Ankara’da 17 ton sağlıksız et ve tavuk ürünü ele g...

Kontrolden çıkan kamyonet palmiye ağacına çarptı: ...

Antalya’da denizde erkek cesedi bulundu

"Meme kanserinde farkındalık, erken teşhisin ilk a...

Op. Dr. Gökmengil: "Şah damarı hastalıkları felç r...

Sivas’ta mobil kanser tarama aracı sayesinde erken...

Kaleiçi Old Town Festivali 21 ülkeden 26 şehrin he...

Karaman’da motosiklet traktörün römorkuna çarptı: ...

Batman’da yasa dışı bahis operasyonu: 5 gözaltı

Jandarma ev sahipliğinde Uluslararası BORAN 7 Kesk...

Batman’da trafik kazasında 2 kişi yaralandı

Ağrı’da göçmen kaçakçılığı operasyonunda 3 organiz...

Bulanık’ta otomobil ile tır çarpıştı: 1 yaralı

Kız kaçırma kavgasında bir kişi ölmüştü, azmettiri...

Vali Çiçek sınır bölgesinde incelemelerde bulundu

Kamyon bariyerlere çarpıp şarampole devrildi: 2 öl...

İzmir’de 21 yılla aranan hırsız yakalandı

Elazığ’da eylül ayında meydana gelen 307 kazada 3 ...

O anlar kamerada: Sokakta üzerine karton örten çoc...

İhtiyaç sahipleri için bırakılan çanta, ekipleri h...

Zonguldak’ta uyuşturucu operasyonunda 2 tutuklama

’Uluslararası Sağlık Turizmi Strateji Toplantısı’ ...

Sınırları aşan şifa: Türk hekimlerden Şam’da hayat...

Tiroid cerrahisi Adana’da masaya yatırıldı

Malatyalı Koşar ailesi, üç kuşaktır davul üretiyor...

Erzurum-Artvin karayolunda tehlikeli anlar: Kontro...

Mersin’de yine minibüs kazası: 1’i ağır 6 yaralı

Yağmurlu havada çatıda halı yıkadı, görenler şaştı...

Hırsızlık anları kamerada: Parası bitince iş yeri ...

Firari dolandırıcı yakalanıp cezaevine teslim edil...

İzmir’de pikap ile elektrikli bisikletin çarpıştığ...

Adana’da bin 166 bandrolsüz plaka ele geçirildi

Böbreği ile oğluna ikinci kez hayat verdi

Erzurum’da otomobil 50 metrelik uçuruma yuvarlandı...

Kontrolden çıkan otomobilin bariyerlere çarpma anı...

Mardin’de silah kaçakçılığı operasyonu: 3 gözaltı

Samsun’da motosiklet ile otomobil çarpıştı: 1 yara...

Tekmeyle otobüs durağının camını kırdı

Anız yangını itfaiyenin müdahalesiyle söndürüldü

ANKA Hastanesi Nöroloji Uzmanı Dr. Karslıgil’den a...

Hakkari’de 50 yıl hapis cezası bulunan şahıs yakal...

Söke’de hayvan hırsızı yakalandı

Kırıkhan’da trafik kazası: 1 yaralı

Minik öğrencilere ambulans tanıtımı

Sosyal Yardım İşleri çalışanları bu sefer tarihe d...

Gayret’i Aşk sergisi ilgi topladı

Evde uyuşturucu satışı yaparken yakalandı

Yol boyu tesislerde gıda işletmelerine denetim

Elini üzüm sıkma makinesine kaptıran Melih’in kopa...

Bayburt’ta anne adaylarına ve annelere yönelik far...

26.1° / 17.2°

Adıyaman’da kazada ağır yaralanan motosikletli hayatını kaybetti

Kaza sonrası olay yerinden kaçtı, alkollü olduğu ortaya çıktı

Belçika’da ölen gurbetçi gençler toprağa verildi

Adana’da uyuşturucu bağımlısının aile bireylerini rehin aldığı iddiası

Mersin’deki işçi servisi kazasında hayatını kaybedenler toprağa verildi

Motorda mahsur kalan yavru kedileri itfaiye kurtardı

Arama yapılan evde uyuşturucu madde ele geçirildi

Trump'tan Cumhurbaşkanı Erdoğan'a Hamas ricası

ABD-Meksika sınırındaki yasa dışı geçişler yarım asrın en düşük seviyesinde

Malatya’da otomobil ile motosiklet çarpıştı: 1 ölü

D-100’de motosikletle tehlikeli şov kamerada

Polis nefes aldırmadı: Bir ayda 319 aranan şahıs yakalandı

Dolandırıcı avukat suçüstü yakalandı: Cezaevinden çıktı, aynı suçla geri döndü

Bilecik’te miniklere polis mesleği ve 112 eğitimi

17 yaşındaki gencin ölümüne sebep olan alkollü sürücüye 6 yıl hapis cezası

Ankara’da 17 ton sağlıksız et ve tavuk ürünü ele geçirildi

Kontrolden çıkan kamyonet palmiye ağacına çarptı: Kaza anı kamerada

Antalya’da denizde erkek cesedi bulundu

Karaman’da motosiklet traktörün römorkuna çarptı: 1 yaralı

Batman’da yasa dışı bahis operasyonu: 5 gözaltı